噴砂美白
台中噴砂美白診所交給法拉牙醫診所
台中噴砂美白療程優質推薦法拉美學牙醫診所,使用較高品質與穩定的儀器,清除牙齒表面殘留的沉積物,如果您平日戒不掉咖啡、手搖、茶飲...等等習慣,歡迎您至台中噴砂美白診所-法拉牙醫,為您專業照護牙齒美白。

噴砂美白療程原理
噴砂美白是醫師使用外型類似洗牙的儀器,稱之為噴砂機,透過空氣加壓混合小蘇打粉和水,強力去除牙齒表面色素沉澱。噴砂美白治療是利用物理非侵入性的方法,減少對牙齒的傷害,將牙齒上因喝咖啡、抽菸、吃檳榔...等等色素沉澱的沉積物去除,是一種快速且有效的療程方式。
法拉牙醫的台中噴砂美白療程
經由醫師分析患者的生活習慣,判斷牙齒變黃的因素,評估口腔是否健康及適合進行此療程,再透過噴砂美白將患者沉澱在牙齒上的色漬清除,恢復牙齒本身的顏色。
接受噴砂美白療程後,建議保持良好的口腔清潔,並減少喝咖啡、手搖飲、吃檳榔、抽菸...等等容易使牙齒染色的習慣,降低牙齒再染色的機率。
讓您看得見效果-法拉台中噴砂美白
噴砂美白的效果約可維持三至六個月,根據個人的口腔衛生及飲食習慣的不同,噴砂美白維持的時間也不同。另外,噴砂美白同時也有移除牙菌斑的作用。
噴砂美白雖然無法改變牙齒本來的顏色,但如果您因長期抽煙、吃檳榔而導致牙齒變黃,再怎麼用力刷牙也洗不掉,噴砂美白則是您值得考慮的選擇。
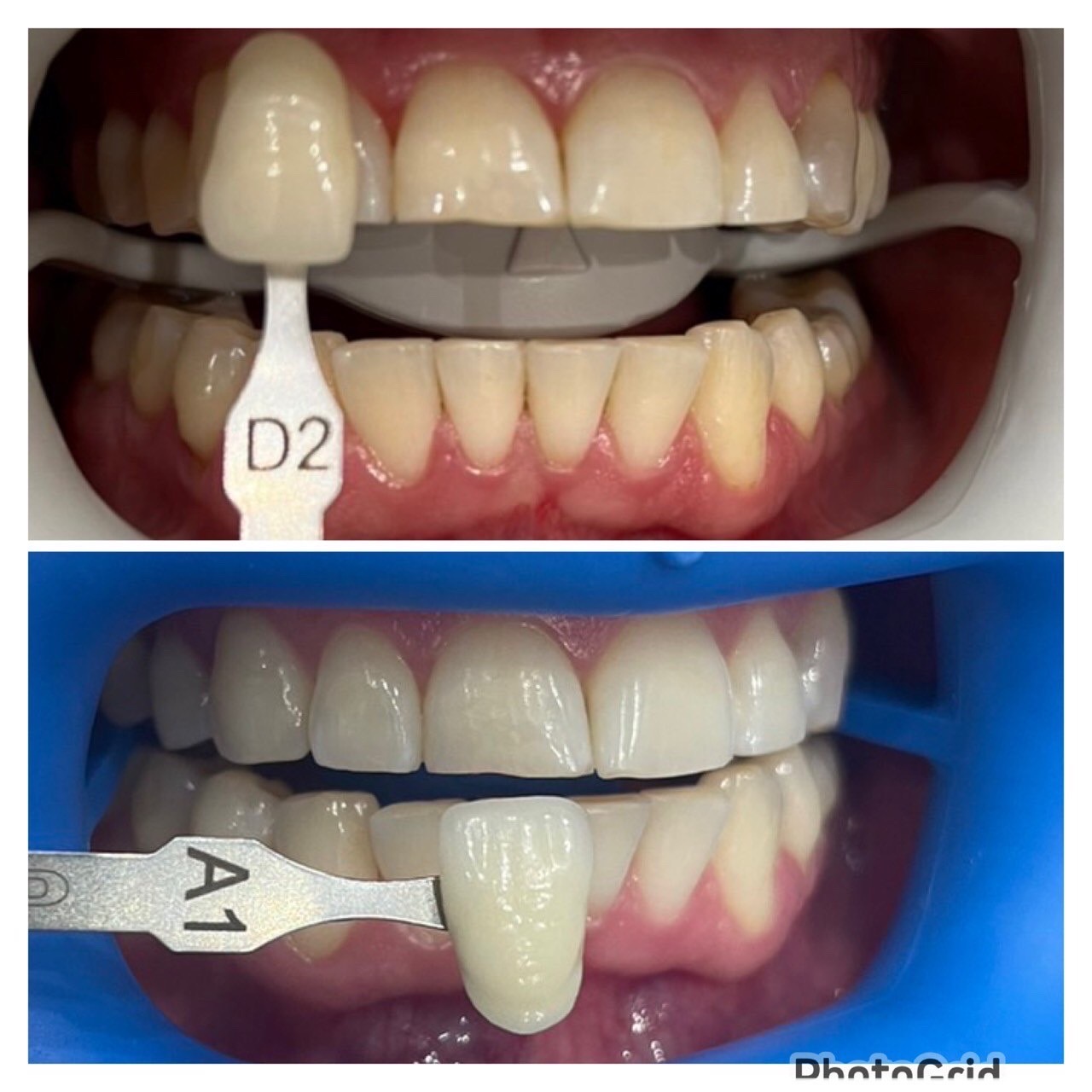
案例分享
案例1
治療前

治療後

案例2

案例3

案例4

案例5

案例6

案例7

聲明:本所療程皆由專業醫生評估後,依照個人口腔狀況進行治療。因每位患者個別狀況不同,術後狀況也不盡相同,需親來本所由醫生評估。